Descubren una nueva secuela de la covid
Política
Política

Descubren una nueva secuela de la covid

Se trata de anomalías oculares potencialmente peligrosas vinculadas a formas graves de coronavirus.

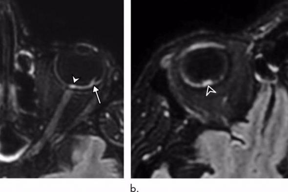
El COVID-19, vinculado a anomalías oculares potencialmente peligrosas.RADIOLOGICAL SOCIETY OF NORTH AMERICA

Los investigadores han encontrado, mediante resonancia magnética, anomalías significativas en los ojos de algunas personas con COVID-19 grave, según un estudio publicado en la revista Radiology. Los resultados del estudio apoyan la necesidad de un examen ocular en estos pacientes para proporcionar el tratamiento y el manejo adecuados de las manifestaciones oftalmológicas potencialmente graves de COVID-19.

La pandemia de COVID-19 ha afectado a más de 100 millones de personas desde que comenzó a principios de 2020. Aunque el virus ataca principalmente a los pulmones, se ha relacionado con anomalías oculares como la conjuntivitis y la retinopatía, una enfermedad de la retina que puede provocar la pérdida de visión. Se han notificado anomalías oculares visibles en exámenes de resonancia magnética, pero la investigación sobre la naturaleza y la frecuencia de estas anomalías es limitada.

Para obtener más información, la Sociedad Francesa de Neurorradiología (SFNR) inició un estudio de 129 pacientes con COVID-19 grave que se sometieron a una resonancia magnética cerebral.

De los 129 pacientes, nueve (7%) tenían hallazgos anormales en la resonancia magnética del globo ocular. Las resonancias magnéticas mostraron uno o más nódulos en la parte posterior, o polo posterior, del globo ocular. Ocho de los nueve pacientes habían pasado un tiempo en la unidad de cuidados intensivos (UCI) por COVID-19.

Es la primera vez que se describen estos hallazgos mediante resonancia magnética

“Demostramos que algunos pacientes con COVID-19 grave de la cohorte francesa de COVID-19 tenían uno o varios nódulos en el polo posterior del globo ―destaca el autor principal del estudio, Augustin Lecler, profesor asociado de la Universidad de París y neurorradiólogo del Departamento de Neurorradiología del Hospital Fundación Adolphe de Rothschild de París―. Esta es la primera vez que se describen estos hallazgos mediante resonancia magnética”.

Los nueve pacientes tenían nódulos en la región macular, el área en la parte posterior del ojo responsable de nuestra visión central. Ocho tenían nódulos en ambos ojos.

Los resultados sugieren que se debe considerar el cribado en todos los pacientes con COVID-19 grave para detectar estos nódulos. En la práctica clínica, esta detección podría incluir una exploración dedicada de los ojos con resonancia magnética de alta resolución, dijeron los investigadores.

Los exámenes adicionales recomendados incluyen la fundoscopia, que usa una lupa y una luz para revisar la parte posterior del interior del ojo, y la tomografía de coherencia óptica, una prueba no invasiva que proporciona una imagen en 3D de la estructura del ojo.

Los problemas oculares pueden pasar desapercibidos

El doctor Lecler señala que los problemas oculares graves pueden pasar desapercibidos en gran medida en la clínica, ya que los pacientes con COVID-19 hospitalizados en la UCI a menudo reciben tratamiento por afecciones mucho más graves y potencialmente mortales.

“Nuestro estudio aboga por la detección de COVID-19 grave en todos los pacientes hospitalizados en la UCI ―prosigue el doctor Lecler―. Creemos que esos pacientes deben recibir tratamientos de protección ocular específicos”.

El mecanismo detrás de la formación de nódulos sigue siendo desconocido, dijeron los investigadores, aunque podría estar relacionado con la inflamación provocada por el virus.

El drenaje inadecuado de las venas de los ojos, un problema que se encuentra en los pacientes que pasan tiempo en la UCI en decúbito prono o intubados, también puede ser un factor. Siete de los nueve pacientes con anomalías oculares del estudio habían sido colocados en decúbito prono en la UCI durante un tiempo prolongado.

Los investigadores están realizando exámenes clínicos y de resonancia magnética de seguimiento en los sobrevivientes para controlar los nódulos y ver si tienen alguna consecuencia clínica, como pérdida de la visión o deterioro del campo visual.

También están realizando exámenes de resonancia magnética en pacientes nuevos con COVID-19 grave de la segunda y tercera oleadas de la pandemia, utilizando pruebas oftalmológicas más completas para correlacionar con los resultados de la resonancia magnética.

Los efectos en pacientes con COVID-19 moderado están actualmente bajo investigación. “Hemos lanzado un estudio prospectivo con imágenes de resonancia magnética de alta resolución dedicadas para explorar el ojo y la órbita en pacientes con COVID leve a moderado ―adelanta el doctor Lecler―. Por lo tanto, podremos saber si nuestros hallazgos fueron específicos de pacientes con COVID grave o no”.

Los hallazgos respaldan investigaciones anteriores que demostraron que la COVID-19 cobra un mayor precio en personas con problemas de salud existentes. De los nueve pacientes con nódulos oculares, dos tenían diabetes, seis eran obesos y dos tenían hipertensión.

Más de Política