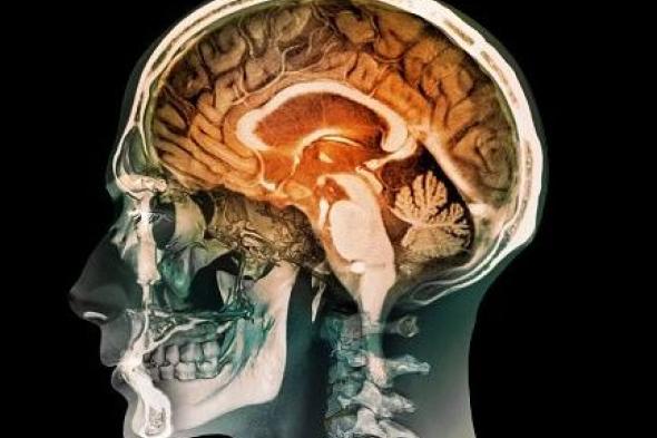
El cerebro puede resucitar sin el cuerpo
Life
Life

El cerebro puede resucitar sin el cuerpo

Getty Images

El cerebro no se puede trasplantar. Es el “centro de operaciones” de nuestro organismo desde el que se gestionan la mayor parte de las funciones conscientes e inconscientes que efectuamos. Sin embargo, los estudios recientes empiezan a cuestionar el dogma de si el cerebro puede tener vida propia después de cesar la actividad del cuerpo.

Las neuronas perduran un tiempo tras la muerte

En el artículo “las neuronas perduran un tiempo tras la muerte” publicado en mi blog comentaba un hallazgo fantástico efectuado por investigadores de laboratorios de Berlín y EE UU. En el estudio se registró la actividad de las neuronas en personas con un daño irreversible en el cerebro y a los que se había cesado la ventilación asistida unos momentos antes. En otras palabras, estaban clínicamente fallecidos. Los científicos observaron que, como era de esperar, las neuronas cesaban su función por la falta de oxígeno. Sin embargo, lo asombroso fue observar que aún sin oxígeno las neuronas reanudaban una cierta actividad (denominada despolarización dispersal) que se prolongaba durante un tiempo sin causar daños irreversibles en las neuronas, incluso sin oxígeno. Posteriormente, se entraba en una situación crítica en la que los daños eran irreversibles.

Este hallazgo indicaba que las neuronas mantienen una supervivencia aún en ausencia de oxígeno durante un lapso de tiempo bastante elevado a pesar de que los registros del electroencefalograma no den señales de actividad cerebral y el corazón se haya parado para siempre.

Esta información nos trae una pregunta crucial sobre los límites de la vida más allá de la muerte.

El cerebro revive fuera del cuerpo

Un nuevo estudio publicado en la revista Nature ha conseguido mantener con vida los cerebros de cerdos fuera del cuerpo. Los investigadores tomaron los cerebros aislados de cerdos que habían sido sacrificados y, tras cuatro horas fuera del cuerpo, los colocaron en un sistema que permitiera mantener nutrientes y oxígeno a través de los vasos sanguíneos cerebrales. A las seis horas de haber efectuado esta operación, observaron que las neuronas recuperaban sus funciones metabólicas, consumían azúcar y el sistema inmune empezaba a trabajar de nuevo. Posteriormente, consiguieron incluso estimular eléctricamente las neuronas y éstas recuperaban de esa manera su capacidad de comunicar entre ellas.

¿Se podría resucitar el cerebro tras la parada cardiorrespiratoria e indirectamente recuperar la actividad corporal? ¿Podríamos estar a las puertas de conseguir en el futuro trasplantes de cerebro?

Un aspecto fascinante fue observar que el comportamiento de las neuronas en el cerebro no era simultáneo, lo que sería indicativo de que las neuronas actuaban de manera autónoma con independencia de los estímulos selectivos, es decir de la recuperación de una cierta “conciencia”.

El debate ético está abierto

Los investigadores cesaron la actividad de los cerebros a las seis horas por cuestiones éticas. Su intención no era obtener la resurrección de la conciencia, sino conseguir un modelo de estudio complejo sobre el que analizar los efectos de fármacos u otros tratamientos en la actividad cerebral.

  Un cerebro de animal en un laboratorio. blackred via Getty Images

Sin embargo, estos logros han abierto un debate sobre dónde empieza la conciencia más allá de la muerte del individuo. En la mayoría de los países se considera una persona legalmente muerta cuando cesa su actividad en el corazón y los pulmones. El cerebro precisa de una ingente cantidad de oxígeno, sangre y energía por lo que hasta el momento se consideraba que su resurrección era inviable.

¿Se podría resucitar el cerebro tras la parada cardiorrespiratoria e indirectamente recuperar la actividad corporal? ¿Podríamos estar a las puertas de conseguir en el futuro trasplantes de cerebro?

Estas fascinantes preguntas están ahora abiertas a debate.

Para saber más, visita mi blog: www.raquelmarin.net

  5cd055f02300006101db6ee8

Dale vida a tu cerebro. ¡En tercera edición!

MOSTRAR BIOGRAFíA

Raquel Marín es neurocientífica y catedrática de Fisiología. Coordina el grupo de investigación de «Señalización celular en enfermedades neurodegenerativas», de la Facultad de Medicina y Ciencias de la Salud, en la que también da clases. Estudió Bioquímica y Biología Molecular en la Universidad Autónoma de Madrid, y fue allí donde se inició en la investigación médica. Máster y doctora en Biomedicina por la Universidad Laval de Quebec, sus tesis se centraron en investigar el sistema nervioso. Con posterioridad, y antes de llegar a La Laguna, trabajó en la Universidad Rockefeller de Nueva York. Investigadora de excelencia Ramón y Cajal durante cinco años, a lo largo de toda su carrera académica y profesional ha centrado su línea de investigación fundamentalmente en enfermedades neurodegenerativas asociadas al envejecimiento. Es autora de varias monografías y de casi un centenar de artículos científicos publicados en revistas internacionales referentes de su ámbito de estudio, ponente invitada en una treintena de congresos internacionales y conferenciante y divulgadora científica. Ha recibido el Premio a la Mujer Investigadora en Biomedicina en la Universidad Laval (Canadá), el Premio de Investigación Agustín de Bethencourt de la Fundación Caja Canarias, la Medalla Europea al Trabajo de Economía y Competitividad, y la Medalla de Honor del Instituto de Ciencias Forenses (Barcelona). En su página www.raquelmarin.net escribe un blog de divulgación sobre el cerebro, la nutrición y recetas neurosaludables. Dale vida a tu cerebro es su primer libro de divulgación, que tras cinco meses desde su publicación ha entrado en su 3ª edición.