El coronavirus puede entrar en el cerebro a través de la nariz
Esto explicaría algunos de los síntomas neurológicos de la enfermedad, como la pérdida olfativa.

El SARS-CoV-2 podría entrar en el cerebro de las personas a través de la nariz, un descubrimiento que, además de explicar algunos de los síntomas neurológicos observados en pacientes con covid-19, puede ser útil a la hora de diagnosticar y de aplicar medidas de prevención del contagio.
El estudio, realizado con autopsias, se ha publicado este lunes en la revista científica Nature Neuroscience.
Se sabe que el SARS-CoV-2 no solo afecta al aparato respiratorio sino que también tiene efectos sobre el sistema nervioso central con síntomas que van desde la pérdida del olfato y del gusto, al dolor de cabeza, la fatiga y las náuseas.
Además, recientes investigaciones han confirmado la presencia de ARN del virus en el cerebro y en el líquido cefalorraquídeo, pero todavía sigue sin estar claro por dónde entra el virus y cómo se distribuye en el cerebro.
Para averiguarlo, un equipo de investigadores del Charité —uno de los hospitales universitarios más grandes de Europa que forma parte de la Facultad de Medicina de la Universidad Libre de Berlín y de la Universidad Humboldt de Berlín, Alemania— liderados por Frank Heppner, realizó la autopsia a 33 pacientes fallecidos por covid-19.
Los investigadores analizaron el cerebro de 22 hombres y 11 mujeres, y su nasofaringe (parte superior de la garganta detrás de la nariz), un lugar que podría ser un posible primer foco de infección y replicación del covid-19.
En el momento de la muerte, los pacientes tenían una edad media de 71,6 años, y el tiempo transcurrido desde el comienzo de los síntomas hasta la muerte fue una media de 31 días.
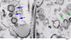
Las autopsias encontraron ARN del SARS-CoV-2 y de varias proteínas en el cerebro y la nasofaringe, y partículas de virus intactas en la nasofaringe.
Los niveles más altos de ARN viral se encontraron en la membrana mucosa olfativa, donde están las células nerviosas y reside el sentido del olfato, según el estudio.
Además, observaron que la duración de la enfermedad estaba inversamente relacionada con la cantidad de virus detectado, y que cuanto más altos eran los niveles de ARN del SARS-CoV-2, menos duraba la enfermedad.
Los autores también encontraron proteínas del SARS-CoV-2 (la que permite liberar el genoma viral en el interior de la célula que va a infectar) en ciertos tipos de células de la capa mucosa olfatoria, donde el virus podría aprovechar la proximidad del tejido endotelial y nervioso para entrar en el cerebro.
En algunos pacientes se encontró esta proteína del SARS-CoV-2 en células que expresan marcadores de neuronas, lo que sugiere que las neuronas del olfato podrían estar infectadas, al igual que otras zonas del cerebro que reciban señales olfativas y gustativas.
También hallaron SARS-CoV-2 en otras áreas del sistema nervioso, incluida la médula oblonga, el principal centro de control de las funciones respiratorias y cardiovasculares del cerebro.
Los investigadores advierten de que harán falta más autopsias que incluyan una amplia gama de muestras para identificar los mecanismos precisos que median la entrada del virus en el cerebro, y examinar otros posibles puertos de entrada.
