Un revolucionario fármaco español planta cara al cáncer más frecuente
Se trata de una investigación desarrollada por varios centros españoles.

Un grupo de investigadores españoles ha desarrollado un medicamento contra la proteína CD98hc, una nueva diana terapéutica presente en la superficie de las células tumorales, que resulta ser "muy potente y específico para las células tumorales de cáncer de colon".
La investigación ha sido dirigida por el investigador del Instituto de Investigación Biomédica de Salamanca (IBSAL), Juan Carlos Montero González, y por el investigador del Centro de Investigación del Cáncer (centro mixto de la Universidad de Salamanca y el CSIC), Atanasio Pandiella Alonso, ambos pertenecientes al Ciber de Cáncer. También ha contado con la participación del grupo de Alberto Muñoz Terol, del Instituto de Investigaciones Biomédicas Sols-Morreale (CSIC-UAM), en Madrid, también perteneciente a Ciberonc.
En un estudio previo, el equipo de investigación descubrió una nueva diana terapéutica en la superficie de las células tumorales, denominada CD98hc. Posteriormente, contra esta diana terapéutica, se desarrolló un fármaco del tipo ADC que resultó ser muy potente y específico para este tipo de tumor.
Los ADCs son anticuerpos a los cuales se les ha pegado un agente tóxico para la célula. De esta forma, estos fármacos suman el efecto antitumoral del anticuerpo y el efecto antitumoral del fármaco que llevan pegado.
"La necesidad de incorporar nuevos fármacos dirigidos al cáncer de colon llevó a nuestro grupo a evaluar si CD98hc pudiera ser una buena diana terapéutica en este tipo de tumor", indica Montero.
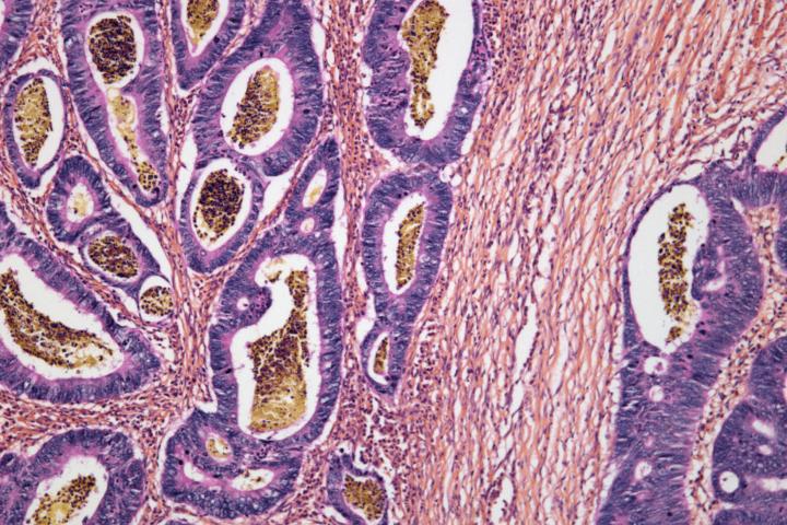
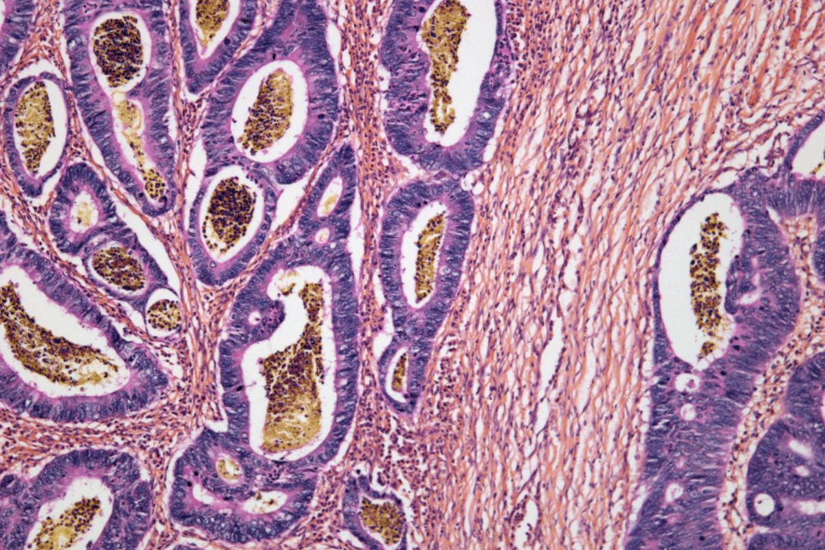
En primer lugar, se analizaron los niveles de expresión de CD98hc en el tejido tumoral y normal de pacientes con cáncer de colon. En estos experimentos, se observó que la cantidad de CD98hc en las células tumorales del colon era mucho mayor que en células no tumorales (sanas).
Esta diferencia de expresión de CD98hc entre la célula tumoral y la célula sana permite actuar preferentemente sobre la tumoral utilizando, por ejemplo, anticuerpos específicos contra esa proteína.
Con este propósito, se desarrolló un ADC que reconocía de manera específica a CD98hc. Una vez penetra en el interior celular, el ADC contra la proteína CD98hc, no solo impide que las células tumorales proliferen, sino que también provoca la muerte de estas, reduciendo el tamaño tumoral.
Panidella explica que "debido a la eficacia clínica que están teniendo este tipo de fármacos en otras patologías y a la eficacia que tuvo el ADC contra CD98hc, generada por nuestro grupo en cáncer de mama, decidimos evaluar el potencial de este ADC en cáncer de colon".
"Los resultados obtenidos con este nuevo fármaco dirigido contra CD98hc en los diferentes modelos preclínicos de cáncer de colon abren la puerta para su posible evaluación en ensayos clínicos", añade.
Estos estudios se complementaron con la labor del grupo de Madrid, que trabaja con organoides, que son modelos experimentales derivados de pacientes. Se evaluó la eficacia antitumoral y la toxicidad del ADC contra CD98hc en varios organoides generados a partir de tejido normal y tumoral colónico procedentes de pacientes con cáncer de colon.
Alberto Muñoz afirma que, gracias a estos estudios, pudieron comprobar que "el fármaco dirigido contra la proteína CD98hc impedía el crecimiento de los organoides tumorales y, además, su efecto fue mínimo en los organoides sanos. Estos resultados indican que este nuevo fármaco podría atacar de manera más selectiva al tejido tumoral frente al tejido sano, mitigando los efectos secundarios".
Por otro lado, los expertos mencionan que la proteína CD98hc también se encuentra altamente expresada en otros tipos de tumores, además del cáncer de colon y cáncer de mama. Por lo tanto, el uso de fármacos dirigidos contra esta diana podría ser útil en otras patologías.
El estudio además ha contado con financiación por parte del Instituto de Salud Carlos III, el Ministerio de Ciencia e Innovación, la Consejería de Educación de la Junta de Castilla y León, y entidades privadas: Fundación CRIS contra el cáncer, Unidos Contra el Cáncer de Toro y Provincia de Zamora (UCCTA), Asociación Leonesa de Mujeres Operadas de Cáncer de Mama (ALMOM)y Asociación Ceutí de Mujeres Mastectomizadas (ACMUMA).
