¿De qué mueren los osos pardos de la cordillera Cantábrica?
Necropsias realizadas en osos pardos durante los últimos 20 años revelan que su fallecimiento está relacionado, principalmente, con el hombre e infecciones como la hepatitis infecciosa canina.

La población de oso pardo europeo (Ursus arctos arctos) ubicada en la cordillera Cantábrica representa el límite suroeste de la distribución de esta especie en Europa. Al igual que otras poblaciones de osos en el continente, experimentó un declive dramático en el número de individuos en la segunda mitad del siglo XX, situándose en menos de 100 individuos en la década de los noventa. Además, quedó dividida en dos subpoblaciones –occidental y oriental– separadas unos 50 kilómetros. Un fenómeno favorecido por barreras geográficas.
El establecimiento de una legislación protectora, junto con planes de seguimiento y conservación han llevado a una recuperación del oso pardo en las últimas dos décadas. El resultado es un aparente aumento en el número de individuos. En 2019, se estimó la existencia de unos 300 ejemplares: 230-270 en la población occidental (Galicia, Asturias y Castilla y León) y unos 40 individuos en la oriental (una pequeña superficie de Asturias, Palencia y Cantabria).
A nivel internacional, el oso pardo cantábrico está incluido en la Lista Roja de Especies Amenazadas de la Unión Internacional para la Conservación de la Naturaleza (UICN) y está catalogado como en peligro de extinción.
La identificación de las causas de mortalidad en poblaciones naturales silvestres es muy importante no solo para detectar y reconocer posibles riesgos de conservación, sino también para diseñar correctamente las estrategias de conservación y los programas de gestión.
Los estudios de mortalidad y los datos sanitarios son escasos en la pequeña y amenazada población de oso pardo de la cordillera Cantábrica. El bajo número de individuos, su comportamiento esquivo y alta movilidad y la escasez de programas de seguimiento de ejemplares mediante radio y GPS en la zona dificultan la detección de osos muertos. Esto impide en muchos casos la realización de necropsias y la determinación de las causas de muerte.
Por todo ello, hemos llevado a cabo un estudio para describir las causas confirmadas de muerte y los hallazgos más significativos en veinticinco osos necropsiados en Asturias y Castilla y León durante los últimos 20 años.
Clasificamos las causas de muerte en base a dos criterios:
- Provocadas o no por intervención humana.
- Provocadas o no por etiología infecciosa.
Según la primera clasificación, el 66,7% de los animales murieron por causas no relacionadas con la intervención humana, como lesiones traumáticas (peleas, infanticidio…), hepatitis infecciosa canina, clostridiosis o neoplasia, entre otras. El 33,3% restante murió por causas directamente relacionadas con la intervención humana como la caza ilegal (por arma de fuego o lazo), envenenamiento o miopatía por estrés.
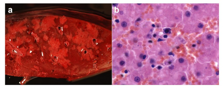
Si tenemos en cuenta la etiología, el 57,1% de los animales murieron por causas no infecciosas y el 42,9% por causas con etiología infecciosa como hepatitis infecciosa canina o miositis gangrenosa provocada en la mayoría de los casos por Clostridium sordellii.

Con nuestro estudio queda patente que el hombre todavía es responsable de algunas muertes de osos, aunque afortunadamente esta tendencia ha ido disminuyendo. Sin embargo, el hecho de que un alto porcentaje de los animales fallezcan por infecciones es de gran relevancia y contrasta con los datos de causa de muerte anteriormente descritos para otras poblaciones de estos animales a nivel mundial, donde las enfermedades infecciosas en ningún caso se describen como un motivo de fallecimiento importante.
El origen de la hepatitis canina infecciosa en los úrsidos es desconocido. Se especula con que podría deberse a una transmisión indirecta a partir de reservorios silvestres o quizá domésticos. Hay que tener en cuenta que el virus se excreta en orina, heces y exudados nasales y oculares que pueden contaminar el medio ambiente, suponiendo una importante fuente de infección para otros individuos de la misma o diferente especie.
Estudios recientes han demostrado que la infección en el lobo es endémica, y que este comparte la misma cepa vírica que el oso. Se cree que la posible transmisión se produce a partir de perros domésticos no vacunados. Esta vacunación no es obligatoria, y por tanto se hace difícil conocer la situación epidemiológica real de esta infección en el perro.
Cabe asimismo destacar que en dos animales se observó miopatía como consecuencia de un esfuerzo y estrés extremo. Este hecho debe tenerse en cuenta en el manejo de los osos. Conviene minimizar el estrés tanto como sea posible en la manipulación de estos animales en vida.

Los resultados que hemos obtenido proporcionan información valiosa sobre los factores que amenazan a esta población en recuperación y pueden ayudar en los proyectos y esfuerzos de gestión y conservación que se lleven a cabo en el futuro.
La presencia de enfermedades infecciosas como la hepatitis infecciosa canina puede reducir la variabilidad genética de los osos por la muerte temprana de futuros progenitores.
Cuando, como en este caso, se trata de especies en peligro de extinción, es muy complicado desde el punto de vista ético y de conservación establecer mecanismos de vigilancia sanitaria activa. Los sistemas de vigilancia sanitaria pasiva como la realización de necropsias regladas en el mayor número de animales y especies posibles se convierte en una de las mejores herramientas de estudio epidemiológico.
Este control sanitario, entendido bajo el paraguas del concepto One Health o Una salud, debe incluir tanto a las especies diana del esfuerzo de conservación, en este caso al oso pardo, como a las especies con las que cohabita, incluidas otras silvestres (lobos, zorros, mustélidos) y domésticas (perros) e incluso al hombre.
En definitiva, nuestro trabajo pone de manifiesto que los esfuerzos de conservación que se están llevando a cabo en la actualidad pueden no ser suficientes si las medidas sanitarias y de vigilancia epidemiológica no se equiparan en importancia y exigencia al resto de medidas de gestión.
