Nueva y vieja normalidad en pandemia
¿A qué acuerdos están llegando las potencias mundiales con las principales farmacéuticas? ¿En dónde se sitúa España?

En Noruega la Autoridad de Protección de Datos ha prohibido seguir utilizando la aplicación de rastreo para notificar a los usuarios si han estado cerca de un contagiado (después de un logro deficiente de los objetivos de detección de infecciones). En Pekín, sin embargo, han vuelto los controles estrictos de temperatura y han reaparecido los puestos de control para comprobar las entradas y salidas (después de que se hayan confirmado más de cien nuevos casos tras más de 50 días sin contagios). En España (sin que haya habido ningún debate en condiciones sobre el modelo de rastreo más aconsejable), en Francia y en la mayor parte del territorio de la UE se ha anunciado con insistencia desde los primeros momentos de la pandemia una aplicación digital de seguimiento de contagios descentralizada, que tiene patrocinio de la Comisión Europea (aunque Google y Apple imponen la tecnología: los datos estarían solamente en los teléfonos y, así, pueden mantener todo el control, porque solo ellos saben cómo hacerlo); pero lo cierto es que todavía no ha conseguido ponerse en marcha. En Hong Kong, por el contrario, solo se permite la entrada de residentes que regresan a la ciudad y a su llegada reciben una pulsera electrónica que se conecta al teléfono.
Después de varios meses desde su aparición, la covid-19 ha provocado reacciones nada uniformes ni globales en los distintos puntos del planeta (aunque en toda la aldea global, eso sí, se ha acelerado la digitalización). En nuestra cultura de occidente, los gobiernos han sido más respetuosos con la privacidad y con un comportamiento acorde con sus legislaciones más avanzadas en protección de datos, y han requerido, en todo caso, que unos códigos encriptados garanticen la anonimidad y que la información no se pueda utilizar más allá de lo estrictamente epidemiológico. En el Oriente más influenciado por el confucianismo, se ha dejado sentir en todo momento una respuesta más obediente de las poblaciones a las directrices de los dirigentes.
El nuevo coronavirus, por el contrario, sí que ha tenido un comportamiento global desde su origen en Wuhan. Gracias a eso hemos conocido la existencia de esa lejana ciudad de la inmensa China. En poco tiempo, la extensión de los contagios ha sido tan grande que después de la declaración de pandemia por la OMS el 11 de marzo de 2020 ya nada nada va a ser igual, ni en China ni en el mundo.
Al principio, llenos de soberbia, observábamos con superioridad en nuestras televisiones las imágenes que considerábamos distópicas, de las batallas de los chinos contra el nuevo coronavirus, y que creíamos debidas al autoritarismo de su sistema político. Ese error de apreciación, debido a una cierta miopía, retrasó sin duda nuestra respuesta. Ahora, puede que tengamos que cambiar nuestros hábitos durante mucho tiempo y seguramente tardemos en vivir como vivíamos a la antigua usanza.
De cara a la reconstrucción, mientras la derecha española clama contra el confinamiento, exige duras contrapartidas contra los despilfarradores del sur y se alinea con los países austeritarios del norte para exigir ajustes y recortes duros, los ciudadanos estamos verificando cada día los destrozos provocados por los recortes de los últimos años en la sanidad, en la enseñanza, en la investigación o en las residencias que provocaron esas mismas políticas. Paralelamente, hemos visto los efectos de la desindustrialización y las deslocalizaciones en busca de la mano de obra barata en China (el mayor productor mundial de principios activos de medicamentos como paracetamol, ibuprofeno o amoxicilina), que nos han hecho dependientes de una dictadura con la que no compartimos ninguno de nuestros valores democráticos. En la expectativa de recuperación que mantenemos, la batalla sanitaria preconizada por expertos y líderes de opinión parece asentarse en tres entidades: el nuevo coronavirus, el tratamiento y la vacuna.
Bastante después de introducirse en este mundo, en diciembre de 2019, cuando el primer grupo de pacientes apareció en Wuhan, provincia china de Hubei, la transmisión del coronavirus tipo 2 (Sars-CoV-2) ha alcanzado grandes proporciones hasta convertirse en pandemia. La enfermedad causada por el nuevo coronavirus (COVID-19; coronavirus disease 19) afecta a una parte importante de la población mundial y se ha asociado a medio millón de muertes en todo el mundo.
Si bien hay quién está dispuesto a sostener que el haber empezado en China sea, por sí sola, la circunstancia más definitiva para considerar la causa de su rápida transmisión, hemos de decir que, desde nuestro punto de vista, el conocimiento limitado de esta enfermedad ha contribuido al fracaso de contención de su impacto. Ahora sabemos que las manifestaciones de la infección van desde síntomas respiratorios leves hasta un síndrome respiratorio agudo severo. De acuerdo con la OMS, para la confirmación de la COVID-19 son necesarias varias pruebas moleculares basadas en la RT-PCR; “reverse transcription polymerase chain reaction” para la identificación de los genes del SARS-Cov-2.
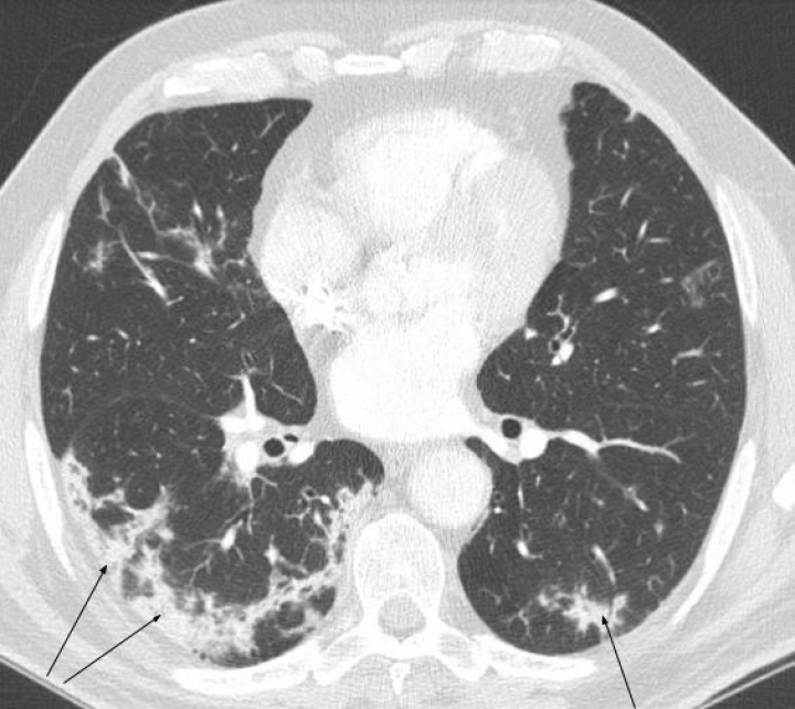
Este virus-RNA pertenece al nuevo coronavirus del género ß, uno de los pocos capaces de infectar a humanos. Entre las manifestaciones más graves de la enfermedad, la neumonía recuerda a la del síndrome respiratorio agudo severo (SARS) y a la del síndrome respiratorio de oriente medio (MERS). Sin embargo, aunque su contenido genómico es común para todos los coronavirus, su genoma es diferente al de ambos, SARS-CoV y MERS-Cov; y por tanto, el virus, entre cuyos factores de riesgo habría que destacar la edad avanzada y las comorbilidades de tipo cardiovascular, tiene diferentes presentaciones clínicas y también distintos hallazgos pulmonares en las pruebas de imagen (radiografías y tomografía computarizada; figura 1).

Como ya se sabe, los antibióticos no son efectivos contra las infecciones víricas, y tampoco hay por ahora un tratamiento específico contra la enfermedad. Lo mejor para defendernos del virus ha sido, sin duda, el confinamiento, mantener la distancia física, las mascarillas y el lavado de manos.
La mayoría de las muertes se deben a una insuficiencia respiratoria provocada por una inflamación grave, producida por una reacción del propio sistema inmune, que suele producirse alrededor de los diez días del comienzo de los síntomas. Se ha publicado recientemente que la dexametasona, un corticoide antiinflamatorio, ha supuesto una gran ayuda para reducir la mortalidad, y se ha utilizado en los pacientes más graves que requieren respiración asistida. Otros tratamientos que también se han utilizado en los casos graves han sido los antirretrovirales lopinavir/ritonavir, utilizados para el HIV; el remdesivir desarrollado para tratar el ébola, de la farmacéutica Gilead (la misma del carísimo sofosbuvir para la hepatitis C); y la hidroxicloroquina, popularizada por Trump en el célebre episodio en el que también recomendó la lejía, y puesta en cuestión por sendos trabajos de baja calidad, y muy cuestionados a su vez, publicados en The Lancet y New England Medical Journal.
¿Dónde se va a probar la vacuna en la segunda fase, en la que se determina la protección que proporciona la inmunización en humanos? ¿A qué acuerdos están llegando las potencias mundiales con las principales farmacéuticas? ¿En dónde se sitúa España?
Esta pandemia ha destapado el protagonismo creciente de Asia y la pérdida de posiciones del liderazgo norteamericano. En cuanto a Europa, es el momento en que debe liberarse de su dependencia y posicionarse de manera autónoma, también en un sentido solidario con los países pobres. Parece que el SARS-Cov-2 muta relativamente poco y por eso los mayores expertos confían en que debería conseguirse una vacuna. Lo importante es que pueda llegar a todo el mundo y no se creen países de primer y segundo nivel. La UE debería jugar en esto un papel central.
Aunque hace años que las enfermedades infecciosas y las vacunas han dejado de ser una prioridad para la industria farmacéutica (el gran negocio está en la oncología), en esta ocasión están siendo observadas con lupa. AstraZeneca (cuya vacuna se basa en un virus alterado genéticamente) la está desarrollando con la Universidad de Oxford, están obteniendo (dicen) buenos resultados en los ensayos con chimpancés y ya ha pasado a la fase de ensayos en humanos; y también Sanofi (cuya vacuna incorpora el código genético en el ADN de otro virus inocuo). Ambas están recibiendo financiación de los EEUU, con lo que la superpotencia se asegura unos derechos preferentes.
La UE está dando pasos para impedir que las vacunas lleguen a unos países mientras otros se quedan sin ella. Sin embargo, para la realización de esta proeza, existiría un obstáculo de reciente aparición, a saber: que por considerarlo una carrera con un final incierto se ha creado un consorcio europeo (del que España, por su limitada capacidad de producción se ha quedado fuera), en el que participan Alemania, Francia, Italia y Holanda, que han firmado un acuerdo con AstraZeneca y que les garantiza trescientos millones de dosis. La eterna historia.
Si un día nos parásemos a pensar en lo que hemos aprendido durante la Covid, y quisiéramos de verdad protegernos para que la siguiente pandemia no nos pille de nuevo despistados, si de verdad interesa, ¿por dónde mejor para empezar a pensar en las lecciones de la pandemia? La humildad frente a la soberbia del desarrollo. La necesidad de anteponer los derechos humanos al control digital. El papel de lo público y de la investigación en el futuro de los medicamentos y las vacunas. La necesidad de la recuperación simultánea del contrato social y de la reconstrucción europea. La necesaria contribución a la inteligencia y la gobernanza en salud pública y al fortalecimiento de la ECDC y la OMS.
