Las pruebas para detectar este tipo de cáncer dividen a los expertos
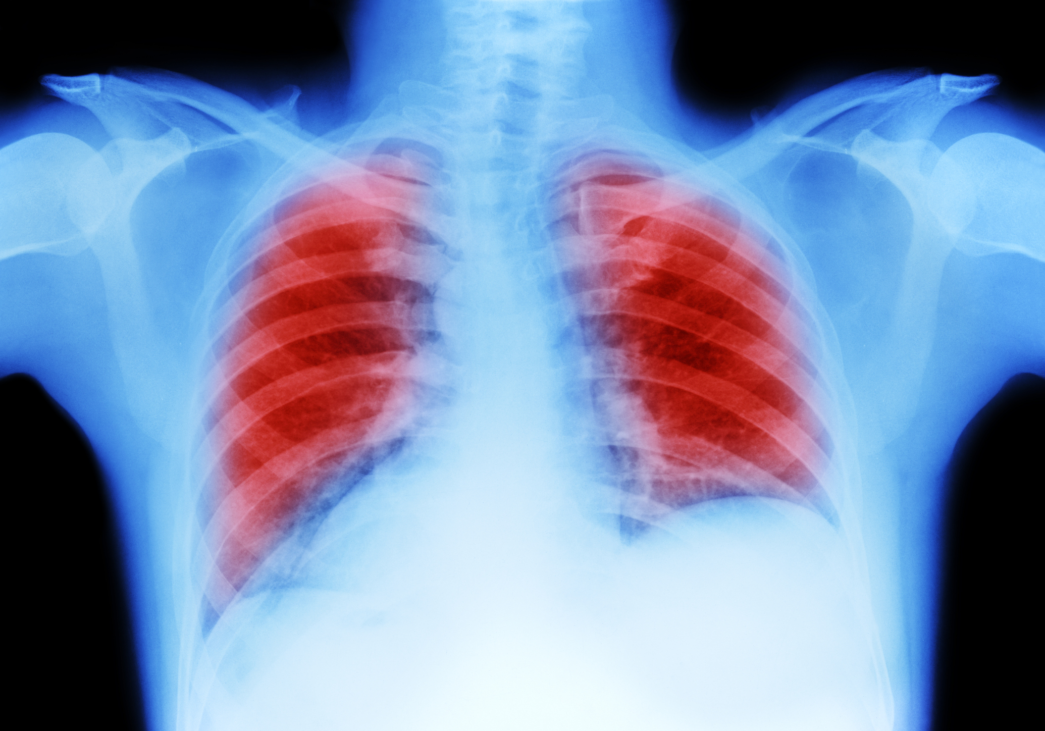
El de pulmón tiene una tasa de supervivencia a 5 años del 21%.

Los cribados son la principal forma de tratar de detectar un cáncer antes de que sus síntomas comiencen a hacer acto de presencia. Es el mejor modo de identificar una enfermedad en una fase inicial, lo que facilitaría considerablemente un tratamiento.
En nuestro país hay tres planes principales de cribado para evitar tres importantes tipos de cáncer: el colorrectal, el de mama y el de cuello de útero. Al cumplir los 50 años, todos los españoles reciben una carta en la que se les informa de que deben hacerse una colonoscopia. Del mismo modo, las mujeres de entre 50 y 69 años son avisadas para una mamografía, y las más jóvenes tienen que hacerse una citología.
Tal y como informa el medio La Verdad, la tasa de supervivencia de los pacientes a los que se les diagnosticó un cáncer gracias a los cribados es el dato que hace que sean necesarios. En los tres casos, si los cánceres se diagnostican pronto, la tasa de supervivencia a cinco años es superior al 90%.
Discrepancia de opiniones con los cribados
Como explica el medio citado anteriormente, un informe encargado recientemente por el Ministerio de Sanidad al Servicio Canario de Salud y a la Agencia Gallega para la Gestión del Conocimiento de Salud ha determinado que el cribado del cáncer de pulmón no saldría rentable. Los expertos que han analizado este tema consideran que reduciría "ligeramente" el riesgo de muerte, pero no aprecian beneficios globales en su aplicación a más parte de la población.
La pelota está en el tejado de la Comisión de Salud Pública, que es la encargada de revisar el informe para que el Consejo Interterritorial decida sobre este cribado. Y, pese a los resultados de la investigación, se sabe que Sanidad está por la labor de implementarlo, al igual que de añadir más para detectar de forma precoz otros tipos de cáncer.
