Detectados los primeros casos de anisakis tras consumir pescado congelado
Política
Política

Detectados los primeros casos de anisakis tras consumir pescado congelado

Ahora las autoridades sanitarias recomiendan congelarlo durante cinco días.

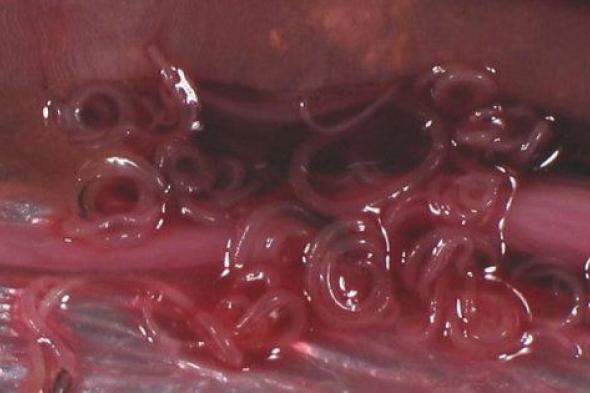
Así se ve el anisakis.WIKIMEDIA

Se han detectado los primeros casos de intoxicación por anisakis en pescado congelado, hasta ahora el método utilizado para eliminar sus efectos a la hora de ingerir pescado crudo.

Por eso la Sociedad Española de Nutrición Comunitaria (SENC) acaba de aumentar el periodo necesario de congelación de dos días a un mínimo de cinco previa antes de su consumo, según recoge Diario Vasco.

El periódico explica cuál debe ser el proceso: poner a -20 grados el pescado bien limpio, una temperatura a la que mueren las larvas que provocan los síntomas. Hay que vigilar que los electrodomésticos alcancen realmente esa temperatura porque sino hay que extender la congelación hasta los siete días.

España se sitúa después de Japón como el país con mayor número de intoxicaciones por anisakis, un parásito que se transmite a los seres humanos a través de la ingestión de pescados o cefalópodos contaminados y que provoca trastornos gastrointestinales y alérgicos.

Esto es debido a que son los dos países donde se consumen más alimentos marinos y a que han desarrollado técnicas para conservarlo mejor fresco. La gastronomía española cuenta además con platos en escabeche, vinagreta o aceite, que facilitan la propagación de la infección.

Las modernas prácticas pesqueras, por las que el pescado se limpia en alta mar y las tripas infectadas se tiran al mar sirviendo de alimento a otros peces, ha empeorado el problema y se ha introducido así hasta en la piscifactoría.

Uno de cada tres pescados que se consumen en España está infectado

Cada año se producen en el mundo 20.000 casos de intoxicación por anisakis que cursan con trastornos digestivos o intestinales y alergia. En los casos más graves se producen choques anafilácticos (por la repetición de un episodio alérgico) que pueden provocar la muerte.

Uno de cada tres pescados que se consumen en España está infectado. Se producen 8.000 casos al año, sobre todo en Euskadi, Madrid, Cantabria y Andalucía.

La incidencia del anisakiasis en España depende de las costumbres culinarias de cada zona y de la conservación del pescado, y no tanto de la variedad de especies consumidas.

Por ejemplo, hay menos pescado infectado por anisakis en Galicia (0,43 %) que en Madrid (13,4 %). Y mientras que la incidencia en el Cantábrico se dispara al 50% de lo pescado, las especies capturadas en el Mediterráneo infectadas apenas alcanzan el 6%.

Si bien el porcentaje de muestras afectadas es muy variable según la zona de origen y la época del año, los pescados más frecuentemente parasitados son la merluza y el bonito, pero los boquerones y anchoas provocan más intoxicaciones en España.

Más de Política