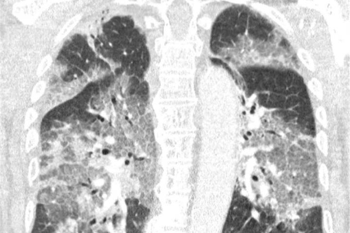
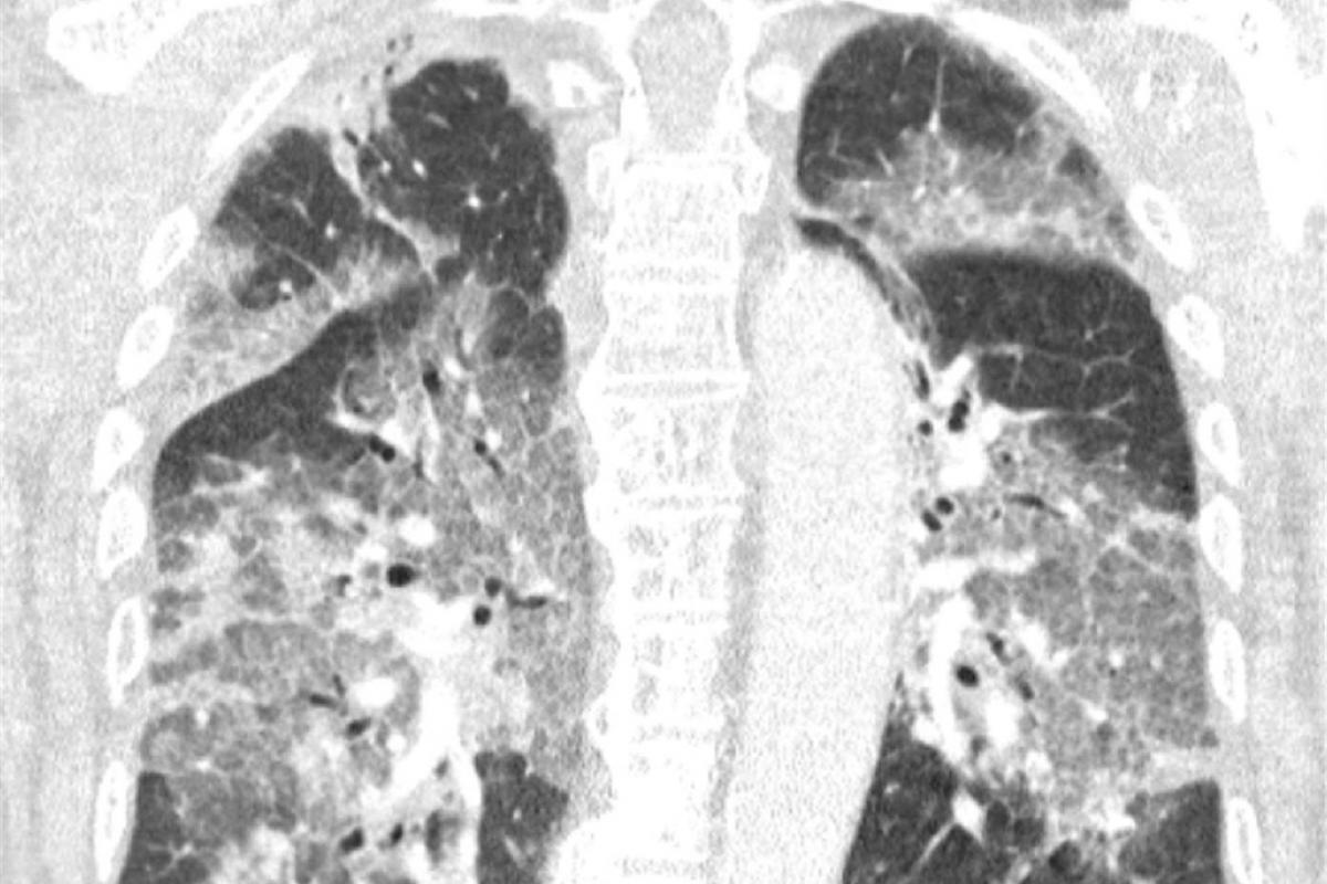
Imagen de los pulmones contagiados con coronavirus del hombre que rechazó la vacuna de AstraZeneca.EFE
Se le había ofrecido una inyección de AstraZeneca, pero la rechazó por miedo a desarrollar coagulación sanguínea. Ahora se encuentra luchando por su vida en un hospital neerlandés, conectado a respiración asistida. Es la trágica historia de un paciente de covid-19 con la que médicos de Países Bajos exigen usar todas las vacunas disponibles.
La carta abierta de estos sanitarios neerlandeses, acompañada de una radiografía de los pulmones de su paciente que no deja indiferente, va dirigida al ministro de Sanidad en funciones, Hugo de Jonge, en una crítica a la paralización del uso de Janssen, filial de Johnson & Johnson, y de las limitaciones de edad impuestas al uso de AstraZeneca.
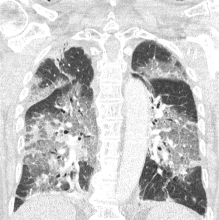
“Hoy ingresó en nuestro hospital el primer paciente que se había negado a recibir la vacuna de AstraZeneca tras toda la conmoción en la prensa. Oímos el tremendo pesar en su voz y la desesperación en sus ojos. El virus lo ha atacado y podría haberse evitado. Con su permiso, compartimos su escáner de pulmón. No es necesario ser un especialista en pulmones para reconocer la devastación, ni epidemiólogo para explicar los riesgos de no estar vacunado”, alertaron.
Imagen de los pulmones contagiados con coronavirus del hombre que rechazó la vacuna de AstraZeneca.EFE
Países Bajos tiene almacenadas desde el lunes 80.000 dosis de Janssen a la espera de una recomendación científica de la Agencia Europea del Medicamento (EMA) sobre su seguridad y su posible relación con seis casos de coagulación sanguínea inusual en Estados Unidos, único país que ha usado ya esta vacuna monodosis.
Además, y después de que la EMA alertara de un “posible vínculo” de AstraZeneca con decenas de casos de tromboembolismos muy raros en personas que recibieron la inyección, Países Bajos decidió usarla solo en personas mayores de 60 años, un grupo de edad donde este preparado ha mostrado menos casos de este efecto adverso.
Después de los debates sobre AstraZeneca y las divergencias que han mostrado los países europeos sobre si mantener o no la vacunación con este preparado, un 42% de los mayores de 60 años aún sin vacunar en Países Bajos rechazaron ponerse esta vacuna, según una encuesta de I&O encargada por la televisión neerlandesa NOS.
"Se había negado a recibir la vacuna de AstraZeneca tras toda la conmoción en la prensa. Oímos el tremendo pesar en su voz y la desesperación en sus ojos", dicen los sanitarios que lo atienden
Los firmantes de la carta publicada este viernes, que son empleados del centro médico Zuyderland, en el sureste de Países Bajos, han alertado de que “el riesgo de daño grave causado por la covid-19 es diez veces mayor para las personas de 40 años y 70 veces mayor para las de 60 años, que el riesgo de daño grave por trombosis” de la vacuna.
“Hasta ahora, hemos atendido a más de 3.000 pacientes con coronavirus y, mientras (usted) habla con expertos sobre la reapertura de la sociedad para ofrecer perspectiva, nosotros todavía vemos a diario las tremendas consecuencias de esta enfermedad”, lamentaron.
El Ejecutivo neerlandés presentó el pasado martes un plan para “reabrir la sociedad de manera responsable” en las próximas semanas y poner fin al toque de queda a partir del 28 de abril, pero lo condicionó al control de una tercera ola de contagios que está desatada, por lo que esta promesa corre el riesgo de no poder cumplirse hasta mayo.
Este planteamiento es muy criticado por los que trabajan en primera línea contra la covid-19. “Los empleados se preguntan legítimamente por qué deben continuar brindando atención sin la protección adecuada, mientras las vacunas esperan en el refrigerador”, denunciaron.
Estos médicos exigen al ministro “dejar de retrasar (la vacunación) y provocar inquietud” y le recordaron que “las cifras muestran que los beneficios de la vacunación masiva son abrumadores y no mienten”.
“Dejemos que la gente elija si quiere evitar una situación como la de nuestro paciente”, instaron, pidiendo poner a su disposición “AstraZeneca, Janssen o cualquier otra vacuna” y abogaron, como la mayoría parlamentaria, por “la vacunación voluntaria sobre la base del consentimiento informado”.
Además, como conclusión a su carta, amenazaron con usar sin permiso las dosis de AstraZeneca que tienen en la nevera en los empleados y médicos del centro hospitalario a partir del lunes, y advirtieron de que ya no “cooperarán voluntaria y conscientemente con daños evitables” a través de la vacunación.
Famosos que han fallecido por coronavirus
El mítico presentador de televisión estadounidense falleció a los 87 años
El militar se hizo viral en 2019, a sus 99 años, por su reto para recaudar fondos contra la pandemia consistente en caminar por su jardín agarrado al andador
Uno de los revolucionarios del sonido pop murió el 16 de enero a los 81 en la cárcel donde cumplía condena por asesinato.
Presidió la República francesa entre 1974 y 1981 y murió con 94 años.
Monseñor Juan del Río falleció a los 73 años el 28 de enero de 2021 en el Hospital Central de la Defensa, conocido como Gómez Ulla. Fue el máximo representante de la Iglesia en las Fuerzas Armadas desde ...
El director surcoreano falleció a los 59 años el 11 de diciembre de 2020
La artista y actriz, madre de Miguel Bosé, falleció el 23 de marzo a los 89 años
Durante su presidencia, el Real Madrid ganó la séptima y octava Copas de Europa, entre otros trofeos. Tenía 76 años. Falleció el 21 de marzo
José María Calleja murió a los 64 años el 21 de abril. Colaborador de diversos medios y escritor de varias obras, fue un objetivo de la banda terrorista ETA
El padre de Tamara Falcó tenía 83 años. Falleció el 20 de marzo
Antonio González Pacheco, conocido como 'Billy el Niño', tenía 73 años. Está investigado por cometer supuestas torturas durante el franquismo
El actor, cantante y bailarín Enrique Castellón Vargas, conocido artísticamente como el Príncipe Gitano tenía 88 años y murió el 22 de abril
El exministro y ex Defensor del Pueblo, Enrique Múgica tenía 88 años. Perdió la vida el 11 de abril
Ben Chijioke (nombre real de Ty), tenía 47 años y saltó a la fama gracias a su álbum The Awknard. En 2003 publicó Upwards, un trabajo que se convirtió en un superventas. Falleció el 8 de mayo
Esteban Yáñez, de 35 años, ha fallecido el 22 de abril. Una de sus series más emblemáticas, Pratos combinados, de TVG, le hizo popular
Francisco Hernando, conocido como Paco 'El Pocero', se hizo conocido por el macroproyecto inmobiliario que planteó en Seseña (Toledo). Tenía 74 años y murió el 3 de abril
Fallecido el 31 de marzo en Estrasburgo (Francia) a los 99 años, participó en la Guerra Civil, en la liberación de París y era Caballero de la Legión de Francia
El exdirector de la Policía Nacional y expresidente de las Cortes Valencianas fue un controvertido político y uno de los rostros de los escándalos y excesos del PP valenciano. Tenía 70 años y murió el 13...
Salvador Vives puso voz en España a Jeremy Irons y Alec Baldwin, entre otros. Tenía 78 años
Alfonso Cortina falleció el 6 de abril a los 76 años.
Francisco de Paula Montosa Mateos, 'El mago Montty', tenía 65 años y se hizo popular por sus apariciones y su mezcla de magia y humor en el mítico programa de Raffaela Carrà ¡Hola Raffaella!. Falleció...
Perdió la vida por el Covid-19 el 23 de marzo, con 75 años. Fue secretario de Estado de Presupuestos y Gastos y de Economía, Energía y Pequeña y Mediana Empresa en los gobiernos de Aznar. También pr...
El escritor chileno, también guionista y director de cine, estaba afincado en Gijón y falleció con 70 años el 16 de abril. En 1989 su novela El viejo que leía historias de amor se convertir&iacut...
Consuelo Garrido era la madre de Miguel Ángel y María del Mar Blanco. Falleció el 1 de abril tres semanas después de haberlo hecho su marido por otras causas
José María Candela tenía 59 años y basó gran parte de su carrera profesional en cubrir las informaciones del Atlético de Madrid en Radio Nacional de España
Participó en 'Cocodrilo Dundee', 'Mozart in the Jungle' o 'Buscando a Susan desesperadamente'. Su muerte se conoció el 26 de marzo. Tenía 69 años.
Merrill compuso el famoso tema I love Rock 'n' Roll, que se hizo célebre la banda Joan Jett & the Blackhearts. Tenía 69 años
Se le considera el padre del teatro catalán actual y creó series de televisión como Poble Nou o Nissaga de poder y triunfó en toda España con Amar en tiempos revueltos. Perdió la vida el 6 de a...
El trompetista Wallace Roney fue estrella de la música jazz y falleció el 1 de abril a los 59 años.
El saxofonista argentino Marcelo Peralta vivía desde 1996 en Madrid, donde falleció con 59 años el 11 de marzo
Miguel Ángel Vaquer, de 36 años, fue uno de los impulsores, junto con sus hermanos, de la bodega familiar Casa Mariol en Batea (Tarragona) y estaba considerado un renovador del vermut en Cataluña.
Li Wenliang, oftalmólogo, lanzó con sus compañeros la alarma sobre el nuevo coronavirus y sufrió la represión de las autoridades chinas por su alerta. Su muerte se confirmó el 6 de febrero, despué...
Dolors Sala tenía 82 años y falleció en Manresa el 6 de abril
El activista antifranquista y expreso político madrileño José María “Chato” Galante tenía 72 años. Falleció el 29 de marzo
Prine fue una influyente figura del folk y del country y murió el 8 de abril en Nashville (EEUU) a los 73 años
Participó en varias películas de la saga Star Wars y colaboró en la preparación de El Señor de los Anillos. Murió con 76 años el 31 de marzo
El jefe de la unidad de élite de la Guardia Civil falleció el 27 de marzo a los 48 años
Tenía 80 años y era reconocido por sus papeles en La conversación y Superdetective en Hollywood II. Su muerte se conoció el 8 de abril.
El decano de los historiadores españoles y uno de los grandes expertos en Historia Moderna y Contemporánea murió el 12 de abril a los 96 años.
Schlesinger, de 52 años, fue candidato al Oscar a la mejor canción original por That Thing You Do!, el tema principal de la película musical That Thing You Do! (1996) que dirigió y protagonizó To...
Valery Giscard d'Estaing, presidente de Francia entre 1974 y 1981, falleció por complicaciones derivadas por el covid en su casa de Loire-et-Cher, a los 94 años.
Valery Giscard d'Estaing, presidente de Francia entre 1974 y 1981, falleció por complicaciones derivadas por el covid en su casa de Loire-et-Cher, a los 94 años.
El militar se hizo viral en 2019, a sus 99 años, por su reto para recaudar fondos contra la pandemia consistente en caminar por su jardín agarrado al andador
Monseñor Juan del Río falleció a los 73 años el 28 de enero de 2021 en el Hospital Central de la Defensa, conocido como Gómez Ulla. Fue el máximo representante de la Iglesia en las Fuerzas Armadas desde ...
José María Calleja murió a los 64 años el 21 de abril. Colaborador de diversos medios y escritor de varias obras, fue un objetivo de la banda terrorista ETA
Ben Chijioke (nombre real de Ty), tenía 47 años y saltó a la fama gracias a su álbum The Awknard. En 2003 publicó Upwards, un trabajo que se convirtió en un superventas. Falleció el 8 de mayo
Francisco Hernando, conocido como Paco 'El Pocero', se hizo conocido por el macroproyecto inmobiliario que planteó en Seseña (Toledo). Tenía 74 años y murió el 3 de abril
Fallecido el 31 de marzo en Estrasburgo (Francia) a los 99 años, participó en la Guerra Civil, en la liberación de París y era Caballero de la Legión de Francia
El exdirector de la Policía Nacional y expresidente de las Cortes Valencianas fue un controvertido político y uno de los rostros de los escándalos y excesos del PP valenciano. Tenía 70 años y murió el 13...
Francisco de Paula Montosa Mateos, 'El mago Montty', tenía 65 años y se hizo popular por sus apariciones y su mezcla de magia y humor en el mítico programa de Raffaela Carrà ¡Hola Raffaella!. Falleció...
Perdió la vida por el Covid-19 el 23 de marzo, con 75 años. Fue secretario de Estado de Presupuestos y Gastos y de Economía, Energía y Pequeña y Mediana Empresa en los gobiernos de Aznar. También pr...
El escritor chileno, también guionista y director de cine, estaba afincado en Gijón y falleció con 70 años el 16 de abril. En 1989 su novela El viejo que leía historias de amor se convertir&iacut...
Consuelo Garrido era la madre de Miguel Ángel y María del Mar Blanco. Falleció el 1 de abril tres semanas después de haberlo hecho su marido por otras causas
José María Candela tenía 59 años y basó gran parte de su carrera profesional en cubrir las informaciones del Atlético de Madrid en Radio Nacional de España
Se le considera el padre del teatro catalán actual y creó series de televisión como Poble Nou o Nissaga de poder y triunfó en toda España con Amar en tiempos revueltos. Perdió la vida el 6 de a...
Miguel Ángel Vaquer, de 36 años, fue uno de los impulsores, junto con sus hermanos, de la bodega familiar Casa Mariol en Batea (Tarragona) y estaba considerado un renovador del vermut en Cataluña.
Li Wenliang, oftalmólogo, lanzó con sus compañeros la alarma sobre el nuevo coronavirus y sufrió la represión de las autoridades chinas por su alerta. Su muerte se confirmó el 6 de febrero, despué...
Schlesinger, de 52 años, fue candidato al Oscar a la mejor canción original por That Thing You Do!, el tema principal de la película musical That Thing You Do! (1996) que dirigió y protagonizó To...
Valery Giscard d'Estaing, presidente de Francia entre 1974 y 1981, falleció por complicaciones derivadas por el covid en su casa de Loire-et-Cher, a los 94 años.