Desmontando a 'Lucy': el falso mito de que los humanos solo utilizamos el 10% de nuestro cerebro

No es que nadie en su sano juicio vaya a creer al pie de la letra la trama de Lucy, la última película del director francés Luc Besson, estrenada en España el pasado 22 de agosto. A saber, y tomando como premisa que los humanos solo empleamos el 10% de nuestro cerebro, una muchacha sufre un accidente por el cual su sangre recibe una descarga de una droga sintética que le permite explotar al completo su capacidad mental. El resultado es que la mujer, interpretada por Scarlett Johansson, adquiere poderes psíquicos sobrenaturales con los que puede controlar el mundo a su alrededor.
El problema es que muchos tomarán como hecho probado la premisa en la que se basa la fantasía de Besson. El mito del diez por ciento es uno de los bulos científicos más extendidos y pertinaces del mundo, que resurge periódicamente gracias a ciertas campañas publicitarias o, como ahora, a películas de ciencia ficción.
Nadie parece saber a ciencia cierta cuándo ni dónde nació esta leyenda urbana, de la que existen referencias escritas desde el primer tercio del siglo XX. Una de las alusiones más populares se remonta a uno de los primeros best sellers de autoayuda, Cómo ganar amigos e influir sobre las personas, publicado por Dale Carnegie en 1936. El prologuista del libro, Lowell Thomas, se refería a un psicólogo de la Universidad de Harvard llamado William James, atribuyéndole la cita de que el humano medio solo desarrolla el diez por ciento de su capacidad mental.
Lo cierto es que James había investigado sobre la educación de los niños prodigio y solía afirmar que cada persona solo alcanza una fracción de su potencial intelectual; el porcentaje lo puso Thomas de su propia cosecha, tal vez influido por otras fuentes que ya por entonces manejaban esta cifra. Pero incluso en este caso, una cosa es decir que no explotamos todos nuestros recursos mentales, y otra muy diferente afirmar que solo utilizamos una porción minoritaria del cerebro. “Sería como decir que los niños utilizan una parte aún menor, dado que todavía no han desarrollado muchas capacidades de los adultos”, apunta el neurobiólogo Javier de Felipe, profesor de investigación del Instituto Cajal (CSIC) y director del Laboratorio de Circuitos Corticales de la Universidad Politécnica de Madrid y el CSIC.
A partir de ahí, y una vez dado ese salto conceptual que desvirtúa por completo la hipótesis de James, el terreno está abonado para que el mito dé pie a toda clase de veleidades y especulaciones. El negocio de la autoayuda y la publicidad lo han explotado repetidamente, y la cultura New Age lo ha aplicado a corrientes como el llamado Movimiento del Potencial Humano. El tirón popular de las creencias en capacidades psíquicas ocultas ha sido inmenso. ¿Quién no recuerda las cucharas dobladas de Uri Geller? En su libro Little book of mindpower (El pequeño libro del poder mental), el ilusionista israelí escribía: “La mayoría de nosotros solo utiliza alrededor del 10% de nuestro cerebro, como mucho. El otro 90% está lleno de potencial oculto y capacidades por descubrir”.
"UNA SOBERANA ESTUPIDEZ"
Bonito, pero falso. Hoy disponemos de tecnologías de neuroimagen como la resonancia magnética funcional, que muestra en una pantalla la actividad de distintas áreas del cerebro cuando un sujeto realiza una determinada tarea. Y es una de las más claras refutaciones del mito del diez por ciento. “Cada vez que visualizamos la actividad del cerebro por resonancia magnética ante distintas tareas, o incluso en reposo, lo que se ve es que todo el cerebro está activado”, explica el neurocientífico italo-argentino Gustavo Deco, director del Center for Brain and Cognition y del grupo de Neurociencia Computacional de la Universitat Pompeu Fabra de Barcelona. Deco ha realizado simulaciones por computación de la actividad espontánea del cerebro en reposo, y su dictamen es concluyente: el estribillo del diez por ciento es “una soberana estupidez”.
Por otra parte, si el mito fuera cierto, se deduciría que la inteligencia o las capacidades cognitivas estarían relacionadas con una mayor masa cerebral en acción. Sin embargo, la experiencia demuestra que no es así. En el siglo XIX, algunos científicos estudiaron el cerebro de los genios para indagar qué los distinguía del resto de los mortales. Y pronto se comprendió que el tamaño no importa. “Anatole France, premio Nobel de literatura, tenía un cerebro de solo unos mil gramos, mientras que el de Lord Byron pesaba el doble, unos 2,2 kilos”, recuerda De Felipe. Más recientemente, el estudio de otros cerebros como el de Albert Einstein ha confirmado que la inteligencia no se reparte al peso. “No se hace más con más masa cerebral”, aduce el neurobiólogo.

Secciones del cerebro de Albert Einstein en una exposición en Londres en 2012.
Y si la cuestión no es el tamaño o la cantidad de materia gris, ¿cuál es? “La clave es la organización del cerebro, cómo se le saca mayor provecho”, resume De Felipe. Bajo esa apariencia de masa homogénea, el cerebro esconde en realidad una estructura microscópica consistente en un complejo y delicado sistema de circuitería fina. Cada milímetro cúbico de corteza cerebral de un ratón contiene unas 90.000 neuronas y tres kilómetros de axones, los cables de esos circuitos. En cada milímetro cúbico del neuropilo, la región que conecta las neuronas con la médula espinal, se producen entre 1.000 y 3.000 millones de conexiones neuronales, llamadas sinapsis. Deco enfatiza que, también a este nivel microscópico, “cuando uno estudia un par de centímetros cuadrados de, por ejemplo, la corteza visual de una rata, lo que se ve es que la gran mayoría de las neuronas están activadas”.
A su vez, esos circuitos se organizan en áreas con una cierta especialización; de ahí que, por ejemplo, una lesión en la corteza visual pueda dañar la vista sin afectar a otras capacidades. Con todo, la asignación de funciones a regiones aún es materia de investigación, y de esta se concluye que el cerebro no es un sistema modular como un motor, en el que cada pieza tiene su función exclusiva e insustituible. La realidad es más compleja, ya que las interconexiones del sistema son esenciales para la función. Esta semana, la revista científica PNAS ha publicado un estudio en el que se han examinado la conducta y las capacidades de 30 personas con daño cerebral localizado. El resultado fue que ciertas personas mostraban una discapacidad mayor según la zona dañada, lo que ha permitido a los investigadores identificar seis nodos o cajas de conexiones que son vitales para la integridad del sistema. “El daño en estos nodos produce una discapacidad cognitiva mucho mayor que si se produce en otras áreas”, escriben los científicos.
¿Significa esto que el cerebro es un sistema cerrado y completo, y que no podemos sacar más partido de él? Ni mucho menos. Deco apunta un caso en consonancia con la trama de Lucy: “Sí es cierto que a través de ciertas drogas se pueda mejorar el funcionamiento del cerebro; es lo que se conoce como cognitive enhancement [mejora cognitiva]. Por ejemplo, el Ritalin se utiliza para los niños con déficit de atención. Ese aspecto de la película está bien”.
CUESTIÓN DE SOFTWARE Y NO DE HARDWARE
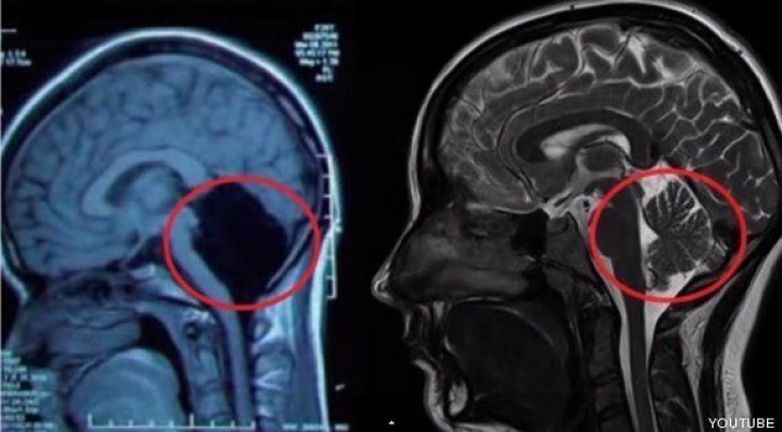
Pero no hace falta recurrir a las drogas para que el cerebro dé más de sí. El pasado agosto, la revista científica Brain publicaba un caso insólito. Una mujer china de 24 años acudió al médico por un persistente episodio de náuseas y vómitos. Cuando los doctores examinaron el interior de su cabeza por resonancia magnética, apenas podían dar crédito a lo que vieron: la joven carecía por completo de cerebelo, un pequeño órgano adjunto al cerebro que controla funciones motoras como hablar y caminar. En condiciones normales, una persona a la que se le extirpara el cerebelo perdería por completo el habla y el movimiento. Pero la joven china solo mostraba ciertos problemas posturales y de pronunciación.

Una cabeza con y sin cerebelo.
La respuesta está en la plasticidad. A lo largo del crecimiento del individuo, las funciones de las áreas que faltan pueden ser asumidas por otras partes del sistema. “Durante el desarrollo, si falta una zona, los circuitos se reorganizan”, dice De Felipe. “En casos de accidente cerebrovascular, si una parte se daña, otras regiones pueden compensar esas funciones, aunque no por completo”, añade Deco. Y es esta plasticidad del cerebro la que permite que, tal y como afirmaba William James, tengamos un potencial por desarrollar. Esto ha ocurrido a lo largo de la evolución, pero no es una cuestión de hardware o masa cerebral, sino de software. “Nuestro cerebro tiene 200.000 años de antigüedad; la capacidad que tenemos ahora es muy superior a la de hace 50.000 años, pero el cerebro es el mismo, solo que entonces no tenía el esqueleto intelectual necesario”, ilustra De Felipe.
Esta cualidad es la que facilita a los niños tareas como aprender a hablar, a escribir o a sumar. Según De Felipe, “la educación es crítica, porque cambia la estructura de las conexiones cerebrales. Pensemos en el mito de Tarzán: un niño que crece en la selva tiene el mismo cerebro, pero crece como un salvaje. El niño que recibe educación no utiliza una parte mayor de su cerebro, sino que este se vuelve más eficaz porque se construyen los circuitos óptimos”.
En resumen, todo indica que nunca lograremos mover objetos con la mente o reemplazar el móvil por la telepatía, más barata y sin permanencia. Pero nos queda una esperanza: “Si un ordenador lo programas mejor, es capaz de hacer más cosas. Continuamente estamos aprendiendo a utilizar mejor el cerebro. Podemos potenciarlo”, sugiere De Felipe, y concluye: “No sabemos hasta dónde podemos llegar”. Deco recuerda una reflexión del neurocientífico estadounidense Marcus Raichle: “Mi cerebro de hoy por la noche no es el mismo que el de hoy por la mañana, porque ha cambiado. Cambiamos día a día, hora a hora".
