El exalcalde de Marbella, fallecido este martes, concedió junto a su mujer una entrevista en '¡De viernes!' (Telecinco) el pasado 13 de septiembre y se sinceró sobre el cáncer de pulmón que sufría.
El estudio en en el que han participado dos científicos de la Universidad de Navarra se ha llevado a cabo junto a la Universidad de Yale en Estados Unidos.
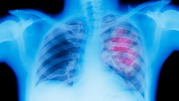
Un estudio realizado en Chile sostiene que el consumo en altas dosis de la fructosa en alimentos ultra procesados ayuda a la aparición de esta enfermedad.
El pionero método que combina la quimioterapia con la inmunoterapia es "es el mayor avance en 30 años", según explica a la 'Cadena SER' el jefe de oncología del Hospital Puerta del Hierro.
Cuando uno piensa en una manzana, en la actualidad, hay dos "fotos" que aparecen en nuestro cerebro: el recreo en el colegio y una marca de computadoras, Apple. Junto con la naranja y la banana, es la fruta más consumida en dietas occidentales y orientales. Y por eso es importante conocer con detalle por qué es tan bueno comerla.
Desde hace años, varios grupos de investigación han estudiado el efecto de la citisina a la hora de dejar de fumar. Y cada vez está más demostrada su capacidad para ayudar a dejar de consumir esta sustancia tan destructiva como es el tabaco.