Los jóvenes investigadores y estudiantes del CNIO (Centro Nacional de Investigaciones Oncólogicas) acaban de publicar un calendario con fotografías salidas de un lugar aparentemente tan poco sexy como su lugar de trabajo.
El calendario, resultado de la primera edición de un concurso interno, se vende en el propio centro a 5 euros. Con la recaudación quieren financiar actividades de divulgación.
"Estos jóvenes investigadores no solo son activos y creativos en ciencia. Han sido los encargados de organizar el concurso de fotografía, producir el calendario y por ejemplo, de producir un vídeo, casero pero muy digno, que enseña cómo es el centro por dentro a los niños", explican fuentes del centro. Aquí está el resultado de su trabajo, el científico y el artístico:
El calendario del CNIO
Elena Andres, Virus in the garden (Virus en el jardín).
Miguel Foronda, The skin from a hair's breadht distance (La piel vista desde una distancia mínima).
Rodrigo Dieguez, A colored map of the vascular network (Un mapa en color de la red vascular).
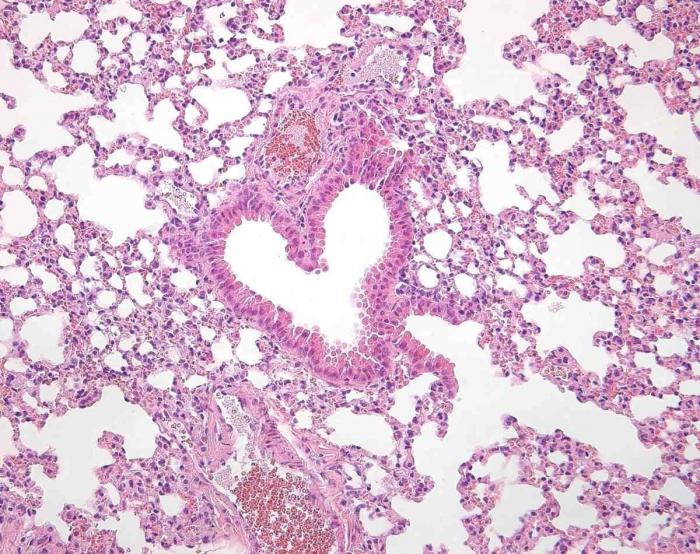
Chiara Ambrosio, Romantic Lung (Pulmón romántico)
Marcos Malumbres, Mitotic Cell (Célula mitótica).
Mohamed-Ali Fawal, Eppendorfs the silent heroes (Tubos Eppendorf, los héroes silenciosos).