Las células del hígado reclutan células madre para desarrollar cáncer
Política
Política

Las células del hígado reclutan células madre para desarrollar cáncer

Entrevista con Nabil Djouder, investigador del CNIO y autor principal de la investigación, publicada en la revista 'Cell Reports'.

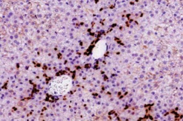
Sección del hígado de un modelo de ratón en el que los hepatocitos expresan el oncogen URI. La imagen muestra la expansión de las células madre del hígado, llamada “reacción ductal”, en los primeros compases de la formación de un tumor.CNIO

El cáncer de hígado es uno de los más feroces que existen y también uno de los más desconocidos. Los científicos no tienen todavía claro qué factores causan la enfermedad y de qué manera se produce el daño genético que acaba traduciéndose en la aparición de tumores. Pero este martes un equipo del Centro Nacional de Investigaciones Oncológicas (CNIO) ha arrojado algo de luz sobre ese proceso con una investigación publicada en la revista Cell Reports.

Hasta ahora, el malo de la película en la aparición de carcinomas hepáticos eran los hepatocitos, células del hígado que se convierten en malignas. La investigación del CNIO, sin embargo, ha trastocado seriamente ese reparto de roles y apunta a unas células que, para la opinión pública, han sido tradicionalmente unas santas: las células madre. Ellas, según este estudio recién publicado, son reclutadas por los hepatocitos para colaborar en la progresión de los tumores.

Desde el laboratorio en el que su equipo trata de desentrañar hasta la raíz de este tipo de cáncer de mal pronóstico, Nabil Djouder asegura a El Huffington Post que este hallazgo es el más importante de la gama de matices que el artículo introduce en el conocimiento de los cánceres hepáticos. "Es muy importante, es clave, porque hemos hallado que los hepatocitos son capaces de transformar esas células madre en células oncogénicas".

Las células del hígado 'reclutan' a células madre y las convierten en células cancerígenas para fomentar el desarrollo de tumores.

Su equipo ha observado también que las células madre o progenitoras se expanden durante el desarrollo de los tumores y quedan encuadradas en el ejército cancerígeno por vecindad. "Cuando tienes un hepatocito oncogénico, las células madre vecinas se convierten también en malignas, aunque no lo fueran en un principio", explica Djouder, poniendo el foco en otro aspecto importante de la investigación: la transformación de las células progenitoras en células malignas puede ocurrir en cualquier momento. Eso explica que a veces den lugar a tumores benignos en lugar de malignos.

GALECTINA 3, LA SOSPECHOSA NÚMERO 1

En la investigación dirigida por Djouder se han identificado dos moléculas que actúan como los sargentos de reclutamiento de las células madre. Son alfa-ketoglutarato y galectina-3, importantes en varios procesos celulares y segregadas por los hepatocitos para motivar la proliferación de células madre, instruirlas como células cancerígenas y activarlas para contribuir a la progresión de las lesiones.

Una investigación de 2011, publicada en Cancer Letters, ya había recapitulado la amplia gama de interacciones de galectina-3 relacionadas con el cáncer: crecimiento celular, diferenciación celular, inmunosupresión, angiogenesis (formación de vasos sanguíneos), adhesión, invasión y metástasis.

No hacía falta colgar su retrato en la pared para que todos los miembros del grupo del CNIO supieran que galectina-3 era la sospechosa número uno. Por eso, los experimentos genéticos que han llevado a cabo para reproducir las fases de desarrollo de lo cánceres hepáticos la han tenido como protagonista y han terminado de señalar que darle la batalla es una ventana de oportunidad terapéutica contra los tumores de hígado.

La molécula galactina-3 está relacionada con la proliferación y conversión de células madre en células oncogénicas. Los investigadores creen que bloquearla es una posibilidad terapéutica.

"En los primeros experimentos", explica Djouder, "comprobamos que galectina-3 estaba relacionada con la proliferación y la conversión de las células madre en células oncogénicas. En los siguientes pasos trabajamos bloqueando esa molécula y nos encontramos con que de esa manera inhibimos la interacción entre células y se produjo una reducción en la formación de tumores".

LOS PRIMEROS PASOS

Djouder reconoce que este hallazgo puede tener implicaciones terapéuticas, pero señala que aún es muy pronto para aventurar si la investigación llegará pronto o tarde a la ansiada fase de pruebas clínicas: "Estamos muy al principio. Hemos desarrollado los experimentos con ratones y hemos tratado de reproducir todas las características clínicas del cáncer hepático que afecta a los humanos, pero es muy pronto para saber si podrá probarse en pacientes".

De momento, el científico pone de relieve el valor de la investigación, financiada por el Ministerio de Economía, Industria y Competitividad y el Worldwide Cancer Research: "Estamos en fases muy tempranas del estudio y lo que hemos descubierto es muy importante en el conocimiento de la histopatología de los tumores".

La cautela de Djouder está justificada, porque él es el responsable de uno de los equipos que mejor conoce el cáncer hepático y, por eso, es consciente de lo reciente de las investigaciones: fue en 2015 cuando investigadores estadounidenses certificaron la presencia de células madre en el hígado. Y fue el año pasado cuando el propio equipo Djouder halló que el defecto de molécula NAD*, básica en la quema de energía celular, está relacionada con la aparición del cáncer de hígado.

Más de Política