El virus del Zika: una amenaza para el continente americano
De momento, la preocupación por el virus es moderada, ya que los mosquitos se encuentran en estado latente durante el invierno y este año el invierno ha sido frío. No obstante, a medida que suban las temperaturas y las lluvias primaverales propicien la creación de lugares de reproducción y cría de mosquitos, habrá más motivos para preocuparse.

Un virus africano que rara vez había afectado a las personas se está extendiendo por América, provocando, aparentemente, que los bebés gestados por madres infectadas nazcan con la cabeza deformada. Los mosquitos son los portadores de este virus y lo transmiten mediante su picadura. Y, aunque apareció en América hace tan solo nueve meses en la lejana Isla de Pascua, la Organización Mundial de la Salud afirma que se extenderá a prácticamente todos los países del continente.
En 2014, las autoridades sanitarias de Brasil informaron de 147 casos de bebés que nacieron con el cráneo deformado: se trata de microcefalia, una deformación congénita del cráneo que comprime el cerebro. En 2015, se llegaron a dar 4.000 casos de microcefalia en el país.
La correlación entre el aumento de casos de microcefalia en Brasil y en otros 19 países del continente en el año 2015 y la propagación del virus del Zika es tan evidente que muchas autoridades sanitarias ya han aceptado la hipótesis de que lo que causa estas deformaciones en el cráneo es el virus, transmitido por la picadura de un mosquito a la madre durante el embarazo. Se ha encontrado material genético del virus del Zika en el líquido amniótico de las madres que dieron a luz a bebés con microcefalia y en el cerebro de dos bebés que murieron por la enfermedad.

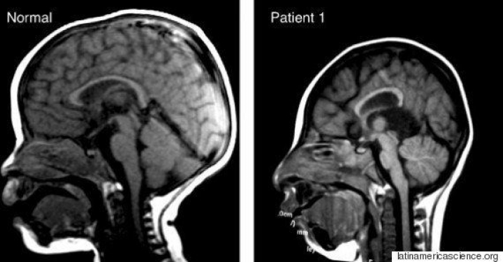
Esta radiografía de Colombia compara el cráneo de un bebé normal con el del "Paciente 1", un bebé cuya madre contrajo el virus del Zika durante el embarazo.(latinamericascience.org)
Aunque el virus del Zika ha aparecido en Estados Unidos hace poco, aún no se ha registrado ningún caso en el país ni se han encontrado mosquitos portadores en ninguno de los 50 estados. Pero los mosquitos infectados están al acecho: ya han aparecido casos de contagio locales en Puerto Rico y en México.
Cada vez son más los países europeos que informan de la presencia del virus en viajeros que volvían de Centroamérica y Sudamérica. En Reino Unido se han identificado tres nuevos casos; en España, dos; y en Portugal, cuatro. En Colombia, se han registrado unos 13.500 casos. Al norte de Sudamérica, en Puerto Rico, se han confirmado 19 casos.
De momento, la preocupación inmediata por el virus es moderada ya que los mosquitos se encuentran en estado latente durante el invierno y este año el invierno ha sido frío. Sin embargo, a medida que suban las temperaturas y las lluvias primaverales propicien la creación de lugares de reproducción y cría de los mosquitos, habrá más motivos para preocuparse.

Este mapa del Centro de Control y Prevención de Enfermedades de Estados Unidos demuestra el porqué de la creciente preocupación por el virus del Zika (y del chikunguña y del dengue). Ambas especies del mosquito 'Aedes' se encuentran en Estados Unidos, especialmente por el sur. (CCPE)
Aparte del contagio de madre a hijo y de dos casos de transmisión sexual mediante el semen contaminado que se han dado, no hay pruebas de que el virus pueda transmitirse entre personas. Para que alguien se contagie del virus, tiene que picarle un mosquito o que recibir una transfusión de sangre contaminada. Una vez infectado, será el sistema inmunitario del individuo el que determinará si el virus es tan leve que puede pasar desapercibido o si se trata de un problema más grave.
No existe ningún tipo de vacuna ni de tratamiento para el Zika, y las malformaciones en el cráneo de los bebés infectados son irreversibles. Sin embargo, la mayoría de los casos de Zika son lo suficientemente leves como para ser confundidos con una gripe o un resfriado y rara vez son motivo de hospitalización. En algunos países como Brasil, donde existen otros virus transmitidos por mosquitos -el dengue y el chikunguña-, los síntomas son tan parecidos a los de la gripe que es necesario realizar análisis de sangre para distinguir qué virus los causa. Todos estos patógenos causan dolor de cabeza, fiebre, dolor articular, malestar general, flojera y náuseas en los casos menos graves.
En casos excepcionales, el Zika puede provocar el trastorno neurológico conocido como síndrome de Guillain-Barré, que puede debilitar los músculos de manera permanente. Además de los casos de microcefalia en Brasil, Colombia y varios países más del hemisferio sur, se ha registrado un aumento del número de casos de síndrome de Guillain-Barré. Tanto el virus del Zika como el del chikunguña pueden ser causantes de este síndrome.

Ana Paula Santos, de 34 años, sostiene a su hija de 45 días, Flavia Alessandra, que sufre microcefalia como consecuencia de una picadura del mosquito 'Aedes aegypti', en el hospital Obras Sociais Irma Dulce de Salvador (Brasil). 27 de enero de 2016. (AFP PHOTO/Christophe SIMON)
En 1978, se identificaron unos cuantos casos de Zika en Indonesia, pero, aparentemente, la enfermedad desapareció sin ninguna intervención por parte de la sanidad pública. El primer brote serio de Zika fuera de África tuvo lugar en abril de 2007 en la isla de Yap, en la Micronesia, que con el tiempo se acabó extendiendo por las islas vecinas.
Desde la aparición de este brote, el virus del Zika ha viajado hacia el este, atravesando el Pacífico, y se manifestó en las Islas Cook, en Tahití y, el año pasado, en la Isla de Pascua. Hasta el 2015, nunca se había dado ningún caso de Zika en América. Por motivos biológicos desconocidos, parece ser que la aparición del Zika sigue a la del chikunguña, que, a su vez, sigue a un nuevo brote de dengue.
En el caso de América en 2015 y 2016, lo que ha sucedido es que se ha desatado una tormenta perfecta de sucesos biológicos que, por separado, no habrían supuesto peligro alguno. Entre estos sucesos se encuentran la introducción de los mosquitos asiáticos y africanos, la propagación de la fiebre amarilla y del dengue, el virus del chikunguña y ahora el del Zika, el fenómeno de El Niño y, aparte, una crisis económica y política en Brasil. La combinación de todos estos factores ha supuesto la propagación explosiva de la enfermedad y al menos 20 países han sufrido brotes lo suficientemente severos como para que los Centros de Control y Prevención de Enfermedades (CCPE) emitan un comunicado en el que se declara una situación de emergencia sanitaria y en el que se proporciona una serie de consejos para viajar.

Un especialista fumiga una casa para protegerla del 'Aedes aegypti' con motivo de la campaña de prevención de la propagación del virus del Zika en Soyapango, cerca de San Salvador (El Salvador). 21 de enero de 2016. (MARVIN RECINOS/AFP/Getty Images)
Los investigadores de los Institutos Nacionales de la Salud de Estados Unidos, David Morens y Anthony Fauci, alertan de la presencia de otro mosquito agresivo: el Aedes albopictus, también conocido como "mosquito tigre asiático", presente en todo el continente americano. Si el mosquito tigre fuera capaz de transmitir también el virus Zika, como es el caso del Aedes aegypti, la propagación de la enfermedad podría llegar a proporciones mayores.
Teniendo en cuenta la ausencia de vacunas o tratamientos para las tres enfermedades, las autoridades sanitarias están tomando medidas drásticas para frenar las epidemias. Esta semana, los CCPE han emitido un comunicado advirtiendo a las mujeres estadounidenses en edad fértil de que no viajen a los países en los que esté presente el Zika. El gobierno brasileño aconseja a las mujeres que eviten quedarse embarazadas hasta que se controle el brote.
Sin embargo, el gobierno de El Salvador es el que ha tomado la medida más extrema: aconseja a las mujeres que no se queden embarazadas hasta 2018 por el riesgo que presenta el virus Zika. El aborto es ilegal en El Salvador desde 1998, incluso en los casos de violación, incesto y riesgo para la madre; situación que ha provocado que los defensores de la salud de la mujer exijan que se suspenda la ley en casos de infección por el virus Zika. Con las leyes de El Salvador, las mujeres se enfrentan a un periodo de dos a ocho años de cárcel si se someten a un aborto, los embarazos interrumpidos se investigan por si se trata de un aborto intencionado y los profesionales que practican abortos se enfrentan a una condena de ocho a doce años de cárcel.

Estos son los países a los que los CCPE recomiendan no viajar. (Laurie Garrett/Council on Foreign Relations)
Para Brasil, la crisis del Zika surge justo en un momento en el que el país está sumido en un desorden económico y político, justo cuando la presidenta Rousseff se enfrenta a un fuerte juicio político y el país busca impresionar al mundo entero con motivo de los Juegos Olímpicos de Río de Janeiro 2016. Situaciones desesperadas requieren medidas desesperadas: el gobierno está considerando liberar mosquitos aegypti genéticamente modificados que mueran antes de alcanzar la edad adulta.
Actualmente es verano en Brasil y el carnaval está a la vuelta de la esquina. La mayor esperanza para el país es que el frío invernal de junio deje a los mosquitos en estado de inactividad durante el mes de los Juegos Olímpicos. El gobierno brasileño está preocupado por que no se llegue a recaudar todo el dinero que se espera conseguir gracias al turismo durante las Olimpiadas por culpa del pánico global al virus Zika.
Unos 3 millones de agencias de viajes de todo el mundo han recibido cartas de Río de Janeiro en las que se promete que no habrá ningún tipo de amenaza relacionada con el Zika durante los juegos, gracias a las severas medidas de control de mosquitos. El Ministerio de Deportes ha emitido un comunicado en el que informa de que los Juegos Olímpicos comienzan el 5 de agosto, en pleno invierno, época en la que es inusual que haya mosquitos y en la que "la incidencia de casos de dengue es menor" a nivel nacional.

Este mapa muestra los países con casos presentes o pasados de transmisión del virus Zika hasta diciembre de 2015. (CDC)
La principal agencia de investigación de Brasil, Fiocruz, ha llevado a cabo en sus laboratorios un trabajo clave que es el que determina la respuesta del gobierno brasileño ante el Zika. Por ejemplo, el 16 de enero, Fiocruz anunció el desarrollo de una prueba de diagnóstico rápido capaz de diferenciar entre casos de dengue, chikunguña y Zika, lo que contribuye a reducir mucho la confusión.
Fiocruz también ha desarrollado dos herramientas -una genética y otra basada en anticuerpos- que ayudan a los investigadores a encontrar el virus Zika en la sangre y en distintos tejidos. Gracias a estos nuevos métodos, el laboratorio encontró Zika en el semen de dos hombres infectados -lo que sugiere que el virus podría transmitirse por vía sexual-, en el útero de dos mujeres que dieron a luz a niños con microcefalia y en el cráneo de estos niños.
Varios grupos de inspectores han registrado 7,4 millones de viviendas en busca de lugares urbanos de reproducción y cría de mosquitos. Además, el martes, el ministro de Sanidad brasileño, Marcelo Castro, anunció que se habían desplegado 220.000 soldados del ejército brasileño por todo el país con el objetivo de encontrar lugares de reproducción y cría de mosquitos. Pero Castro, poco esperanzador, advirtió de que "el mosquito [Aedes aegypti] lleva tres décadas en Brasil y estamos perdiendo la batalla contra él".

Un mosquito 'Aedes aegypti' sobre piel humana en un laboratorio de Cali (Colombia). 25 de enero de 2016. (LUIS ROBAYO/AFP/Getty Images)
Morens y Fauci han declarado lo siguiente:
Este post fue publicado originalmente en la edición estadounidense de 'The Huffington Post' y ha sido traducido del inglés por Lara Eleno e Irene de Andrés.




